LOWER EXTREMITY
OUR SERVICES
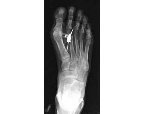
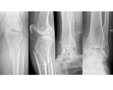
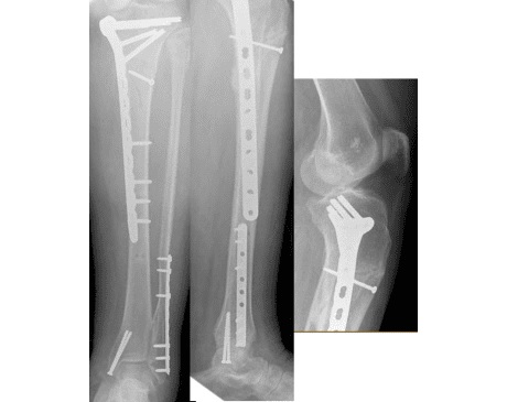
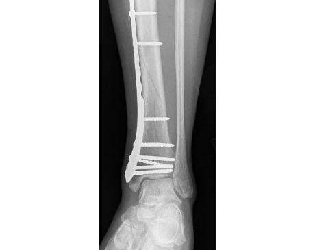
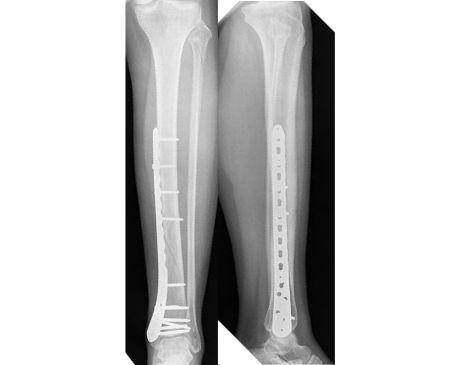
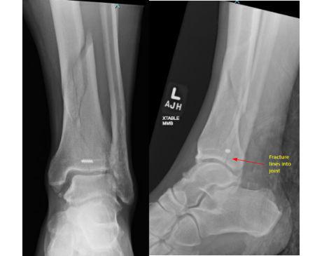
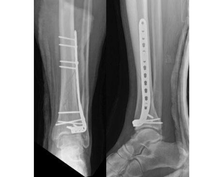
I was hit by car, had a compound fracture with a bone sticking out of my left foot. Broken tibia and fibia?. Screwed plate and bones back together. I am healing fine, next visit 3/26 to remove stiches. I seem to have total function of foot. Still have 2 more weeks of not using leg, but very hopeful.
Very considerate and professional. Did not at any time feel rushed. Offered advice without surgery. Prior surgery by him was extremely successful. Excellent Doctor.
Very professional happy with visit explained issue and treatment process and took time to answer my questions and concerns.
Very smooth experience. Dr. Pancio was very focused, patient, and communicative through every step.
He actually took the time to listen and respond appropriately. He was upfront and honest. Much appreciated.
Very helpful.
No problems. Staff was efficient and courteous. Dr. was professional and honest.
Dr. Pancho is high energy and personable. He didn’t rush through follow up appointments and made sure we understood any procedures and answered all of my questions. I especially liked how he kept my wife informed of my progress during surgery and by phone speaker during appointments. His written material he gave me was personalized for my specific injury and was easy to follow.
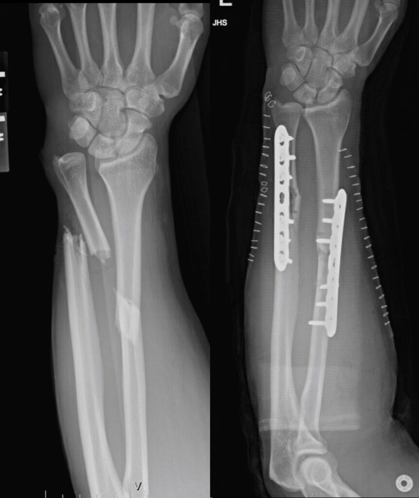
My son was seen for a broken arm. Everyone was very kind and patient with him, as this was a new experience for us. I am very pleased with the service we received and for a healed arm.
Dr. Pancio studied my daughters MRI before he came in and talked to us. He examined her knee and told us that her exam confirmed what he had found on the MRI which was missed by the radiologist. He prescribed the appropriate physical therapy and my daughter is on her way to making a full recovery without surgery! If she would have needed surgery, we have full confidence that Dr. Pancio would be great! He is very observant and knowledgeable. He explained everything that is going on with her knee also why and when it would hurt in different situations.
By far the best Orthopedic doctor in the area.
Doc is awesome makes you feel comfortable and cares about your well being.
Phenomenal surgeon – Dr. Pancio made my shoulder normal again!!
Great doctor and surgeon. Would highly recommend to anyone in the Winchester area for their orthopedic care.
| Monday – Thursday: | 08:00 am – 5:00 pm |
| Friday: | 08:00 am – 12:00 pm |
| Saturday – Sunday: | Closed |















